
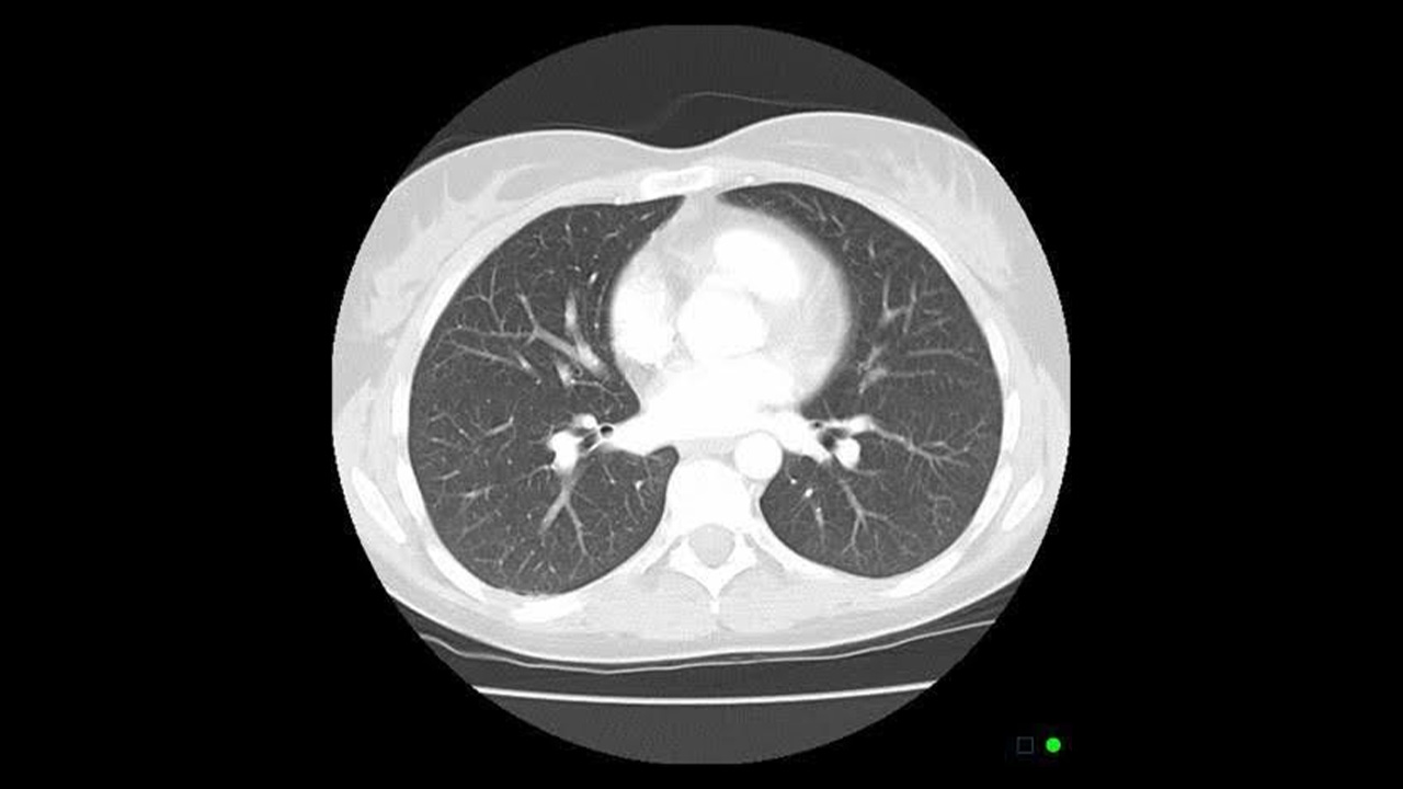
Lung Cancer Screening with Low-Dose CT (LDCT): Who Needs It, Benefits, Risks, and What to Expect
Overview Lung cancer screening with low-dose CT (LDCT) is one of the most powerful tools
Interested in our wellness & aesthetics services through Longevity 360? Click below to learn more and see how we can help you look, feel, and live better.
Breathe 360 is an integrative medicine clinic dedicated to providing high-quality care and support for those struggling with sleep disorders and other Pulmonology related diseases. Our mission is to help our patients achieve better health, and better lives. We understand that access to healthcare is crucial for our overall well-being, and we are committed to providing personalized treatment plans tailored to each patient’s unique needs. Our team of experienced, lung and sleep specialists and healthcare professionals are dedicated to providing compassionate and comprehensive care to help our patients improve their quality of life.
A supervised medical program that helps people who have lung diseases live and breathe better.
A technology to enable monitoring of patients outside of conventional clinical settings, such as in the home.
Breathe 360 provides comprehensive medical care and treatment for a wide range of diseases and conditions. Our team of healthcare professionals includes specialists in various fields, including pulmonology, sleep, obesity and internal medicine. We utilize the latest diagnostic and treatment methods to provide personalized care for each patient. We take a multidisciplinary approach to patient care, working closely with our patients to develop personalized treatment plans that meet their unique needs and goals. Our goal is to help our patients manage their conditions, improve their quality of life, and achieve optimal health outcomes.
What is Obesity? Obesity is a medical condition characterized by excess body fat that accumulates to
Narcolepsy is a neurological sleep disorder. It is characterized by doctors as excessive daytime sleepiness, sudden
What is COPD? COPD stands for Chronic Obstructive Pulmonary Disease, a chronic inflammatory lung disease that
What is Sleep Apnea? Sleep apnea is a common sleep disorder that causes a person to
What is Chronic Cough? A chronic cough is defined as a cough that persists for more than 8 weeks
What is Chronic Bronchitis? Chronic bronchitis is a type of chronic obstructive pulmonary disease (COPD) that
What is Asthma? Asthma is a chronic respiratory disease that affects the airways that carry air
What is Interstitial Lung Disease? Interstitial Lung Disease (ILD) is a group of lung disorders that
What is Insomnia? A sleep disorder called insomnia is characterized by problems getting to sleep, staying
Our clinic offers a variety of procedures to diagnose and treat various medical conditions. Our team of highly trained medical professionals uses the latest technology and techniques to provide safe, effective, and minimally invasive procedures. We strive to provide compassionate care and ensure that our patients feel comfortable and well-informed throughout the entire process.
Pulmonary Function Test (PFT) is a group of tests that measure how well your lungs are working. These tests are typically done to diagnose or monitor lung conditions such as asthma, chronic obstructive pulmonary disease (COPD), and pulmonary fibrosis.
A Home Sleep Study is a type of sleep study that can be done in the comfort of your own home. It is used to diagnose sleep disorders such as sleep apnea, which is a condition where breathing stops and starts repeatedly during sleep.
The practice of maintaining a healthy body weight through a combination of healthy eating habits, physical activity, and lifestyle changes. It involves maintaining a balance between the calories you consume and the calories you burn.
Telemedicine is a form of medical care that allows patients to receive remote diagnosis, treatment, and monitoring using technology such as video conferencing, mobile apps, and other digital communication tools. When done right, telemedicine can provide a number of benefits to patients and healthcare providers, including increased access to care, improved efficiency, and better patient outcomes. Telemedicine can provide a convenient and effective way for patients to receive medical care, while also improving the efficiency and quality of care provided by healthcare providers.
Communication is the key in telemedicine. We ensure that patients fully understand the technology.
Telemedicine appointments depend on reliable technology with secure and user-friendly telemedicine platforms.
We take patient privacy seriously and ensure that all telemedicine platforms and tools are secure and compliant with all applicable laws and regulations.
Telemedicine should be flexible and adapt to the needs of patients. We can adjust the length of appointments, and the frequency of follow-up visits.
At Breathe360, your care doesn’t stop at managing illness—we also help you feel and function at your best through our sister practice, Longevity 360. In addition to primary care, you have access to physician-led aesthetic treatments, regenerative therapies like PRP and IV vitamin support, and longevity-focused programs that optimize metabolism, hormones, performance, and recovery. Together, Breathe360 and Longevity 360 offer a seamless path from everyday health to long-term wellness and healthy aging.
Botulinum Toxin Injections
Soften fine lines and dynamic wrinkles with precisely placed botulinum toxin injections. Our conservative, customized approach is designed to refresh your natural appearance—not change the way you look.
Dermal Fillers
Restore lost volume, enhance facial contours, and smooth deeper lines with advanced hyaluronic acid-based fillers. Treatments are tailored to your facial structure for balanced, natural-looking results.
PRP/PRF Facial Rejuvenation
Harness your body’s own growth factors with platelet-rich plasma (PRP) or platelet-rich fibrin (PRF) to improve skin tone, texture, and elasticity. This regenerative approach supports collagen production for gradual, long-lasting rejuvenation.
Microneedling (With/Without PRP)
Create controlled micro-channels in the skin to stimulate collagen and elastin, reducing the appearance of scars, fine lines, and uneven texture. Enhance your results further by combining microneedling with PRP for added healing and glow.
PRP Hair Restoration
Support hair growth and scalp health with PRP injections using your own blood-derived growth factors. This non-surgical treatment is designed to strengthen hair follicles, improve hair density, and slow thinning over time.
IV Hydration & Vitamin Therapy
Replenish essential fluids, vitamins, and minerals directly into your bloodstream for rapid absorption. IV therapy can support energy, recovery, immune function, and overall hydration—ideal for busy schedules, athletes, and anyone feeling depleted.
Precision Health Consults
Go beyond routine checkups with in-depth consultations that assess your lifestyle, risk factors, and long-term health goals. We use a personalized, data-informed approach to help you build a clear roadmap for better aging and disease prevention.
Metabolic & Hormone Optimization
Address underlying imbalances that affect energy, mood, sleep, weight, and performance. Through targeted evaluation and tailored treatment strategies, we work to optimize metabolic health and hormone function for sustainable, long-term wellness.
Performance & Recovery Programs
Designed for high performers, athletes, and anyone who wants to feel and function at their best, these programs focus on improving stamina, recovery, resilience, and overall physical capacity using a blend of medical insight and lifestyle strategy.

Overview Lung cancer screening with low-dose CT (LDCT) is one of the most powerful tools

The COVID-19 pandemic has been a challenging time for everyone. While many recover within weeks,

The COVID-19 pandemic has been a challenging time for everyone. While many recover within weeks,